Abscess Perianal Pictures

Abscess Perianal Pictures

Perianal abscesses are a common yet often misunderstood condition that can cause significant discomfort and concern. Understanding what perianal abscesses are, their causes, symptoms, and treatment options is crucial for anyone experiencing this condition. This post will delve into the details of perianal abscesses, including the importance of recognizing abscess perianal pictures for accurate diagnosis and treatment.

What is a Perianal Abscess?

A perianal abscess is a collection of pus that forms near the anus due to an infection. This condition can be quite painful and may require medical intervention to resolve. The abscess typically develops from an infected gland or a blocked anal gland, leading to the accumulation of pus.

Causes of Perianal Abscesses

The primary cause of a perianal abscess is an infection, often bacterial. Several factors can contribute to the development of this condition:

  • Anal Fissures: Small tears in the lining of the anus can become infected and lead to an abscess.
  • Sexually Transmitted Infections (STIs): Certain STIs, such as gonorrhea or chlamydia, can cause infections that lead to abscesses.
  • Crohn’s Disease: This inflammatory bowel disease can increase the risk of developing perianal abscesses.
  • Diabetes: People with diabetes are more susceptible to infections, including those that can cause perianal abscesses.
  • Weakened Immune System: Conditions or medications that weaken the immune system can make individuals more prone to infections.

Symptoms of Perianal Abscesses

Recognizing the symptoms of a perianal abscess is the first step toward seeking appropriate treatment. Common symptoms include:

  • Pain and Swelling: Persistent pain and swelling around the anus.
  • Redness and Warmth: The affected area may appear red and feel warm to the touch.
  • Drainage: Pus may drain from the abscess, often accompanied by a foul odor.
  • Fever: Some individuals may experience a low-grade fever.
  • Difficulty Sitting or Walking: The pain and discomfort can make it difficult to sit or walk comfortably.

Diagnosing Perianal Abscesses

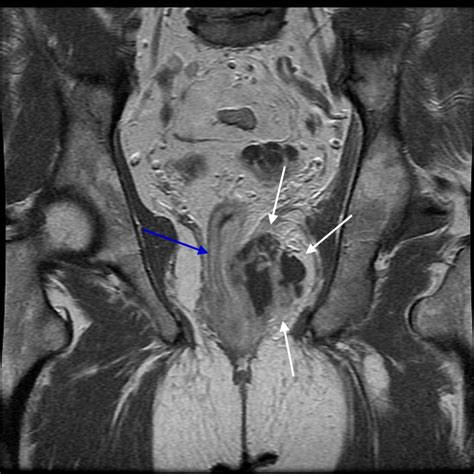
Diagnosing a perianal abscess typically involves a physical examination by a healthcare provider. In some cases, additional tests may be necessary to confirm the diagnosis and rule out other conditions. Abscess perianal pictures can be particularly helpful in visualizing the abscess and determining the extent of the infection.

During the examination, the healthcare provider may:

  • Inspect the anal area for signs of swelling, redness, and drainage.
  • Palpate the area to assess the size and location of the abscess.
  • Order imaging tests, such as an ultrasound or MRI, to get a clearer view of the abscess.

Treatment Options for Perianal Abscesses

The primary goal of treating a perianal abscess is to drain the pus and eliminate the infection. Treatment options may include:

  • Incision and Drainage: This procedure involves making a small incision in the abscess to drain the pus. It is typically performed under local anesthesia.
  • Antibiotics: In some cases, antibiotics may be prescribed to help clear the infection, especially if the abscess is severe or if the individual has a weakened immune system.
  • Warm Sitz Baths: Soaking the affected area in warm water can help relieve pain and promote healing.
  • Pain Management: Over-the-counter pain relievers, such as ibuprofen or acetaminophen, can help manage discomfort.

Preventing Perianal Abscesses

While not all perianal abscesses can be prevented, there are steps individuals can take to reduce their risk:

  • Maintain Good Hygiene: Keep the anal area clean and dry to prevent infections.
  • Manage Chronic Conditions: Properly manage conditions like diabetes and Crohn’s disease to reduce the risk of infections.
  • Avoid Straining: Avoid straining during bowel movements to prevent anal fissures and infections.
  • Practice Safe Sex: Use protection during sexual activity to reduce the risk of STIs.

When to Seek Medical Attention

If you suspect you have a perianal abscess, it is important to seek medical attention promptly. Delaying treatment can lead to complications, such as the abscess spreading to other areas or developing into a fistula. Contact your healthcare provider if you experience any of the following symptoms:

  • Severe pain and swelling around the anus.
  • Fever or chills.
  • Drainage of pus from the abscess.
  • Difficulty sitting or walking due to pain.

📌 Note: If you experience severe symptoms or if the abscess does not improve with home treatment, seek immediate medical attention.

Complications of Perianal Abscesses

If left untreated, perianal abscesses can lead to several complications, including:

  • Fistula Formation: An abscess that does not heal properly can develop into a fistula, an abnormal connection between the infected gland and the skin.
  • Sepsis: In rare cases, the infection can spread to the bloodstream, leading to a serious condition called sepsis.
  • Recurrent Abscesses: Individuals who have had a perianal abscess may be at higher risk of developing recurrent abscesses.

Living with Perianal Abscesses

Living with a perianal abscess can be challenging, but with proper treatment and care, most individuals can recover fully. It is important to follow your healthcare provider’s instructions for treatment and to take steps to prevent future infections. Maintaining good hygiene, managing chronic conditions, and practicing safe sex can all help reduce the risk of developing perianal abscesses.

If you have experienced a perianal abscess, it is important to be aware of the signs and symptoms of a recurrence. Contact your healthcare provider if you notice any changes in your condition or if you experience new symptoms.

In some cases, individuals may need to undergo additional procedures, such as fistula repair, to address complications from a perianal abscess. Your healthcare provider can discuss these options with you and develop a treatment plan tailored to your needs.

It is also important to seek support from friends, family, and healthcare providers during your recovery. Living with a perianal abscess can be emotionally challenging, and having a support system in place can make a significant difference in your overall well-being.

In summary, perianal abscesses are a common condition that can cause significant discomfort and concern. Understanding the causes, symptoms, and treatment options for perianal abscesses is crucial for anyone experiencing this condition. Recognizing abscess perianal pictures can aid in accurate diagnosis and prompt treatment, helping individuals to recover more quickly and reduce the risk of complications. If you suspect you have a perianal abscess, seek medical attention promptly to ensure proper treatment and care.

Related Terms:

  • cpt i&d perirectal abscess
  • incision and drainage perineal abscess
  • cpt i&d perineal abscess
  • perineal abscess drainage procedure
  • perineum abscess cpt code
  • perirectal abscess anatomy