Focal Nodular Hyperplasia Liver

Focal Nodular Hyperplasia Liver

Focal Nodular Hyperplasia (FNH) is a benign liver lesion that often goes undetected due to its asymptomatic nature. This condition is characterized by the presence of a nodule or mass in the liver, which can sometimes be mistaken for other, more serious liver diseases. Understanding FNH, its causes, symptoms, diagnosis, and treatment options is crucial for anyone who may be affected by this condition.

Understanding Focal Nodular Hyperplasia Liver

Focal Nodular Hyperplasia (FNH) is a non-cancerous liver lesion that typically affects young and middle-aged women. It is often discovered incidentally during imaging tests performed for other reasons. FNH is composed of normal liver cells arranged in an abnormal pattern, which can lead to the formation of a nodule or mass. Unlike other liver lesions, FNH does not have the potential to become cancerous.

Causes of Focal Nodular Hyperplasia Liver

The exact cause of FNH is not fully understood, but several factors are believed to contribute to its development:

  • Vascular Malformations: Abnormalities in the blood vessels supplying the liver can lead to the formation of FNH.
  • Hormonal Factors: Estrogen and other hormones may play a role in the development of FNH, which is why it is more common in women.
  • Genetic Predisposition: Some individuals may have a genetic predisposition to developing FNH.

Symptoms of Focal Nodular Hyperplasia Liver

FNH is often asymptomatic, meaning it does not cause any noticeable symptoms. However, in some cases, individuals may experience:

  • Abdominal pain or discomfort
  • Nausea
  • Fatigue
  • Jaundice (yellowing of the skin and eyes)

These symptoms are not specific to FNH and can be associated with other liver conditions. Therefore, it is essential to consult a healthcare provider for a proper diagnosis.

Diagnosis of Focal Nodular Hyperplasia Liver

The diagnosis of FNH typically involves a combination of imaging tests and, in some cases, a liver biopsy. The most common diagnostic methods include:

  • Ultrasound: This non-invasive test uses sound waves to create images of the liver. It can detect the presence of a nodule but may not provide enough detail to confirm FNH.
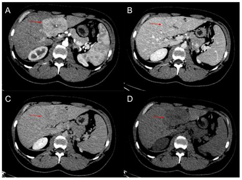
  • Computed Tomography (CT) Scan: A CT scan uses X-rays to create detailed images of the liver. It can help differentiate FNH from other liver lesions.
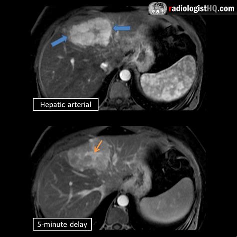
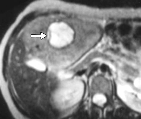
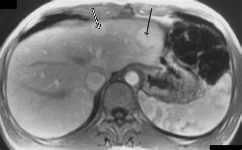
  • Magnetic Resonance Imaging (MRI): MRI uses magnetic fields and radio waves to produce detailed images of the liver. It is often the preferred method for diagnosing FNH due to its high sensitivity and specificity.
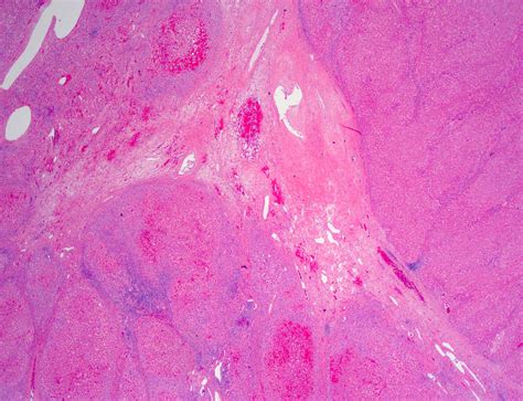
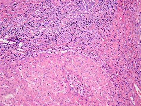
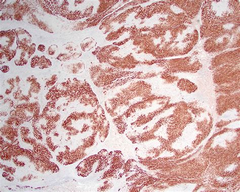
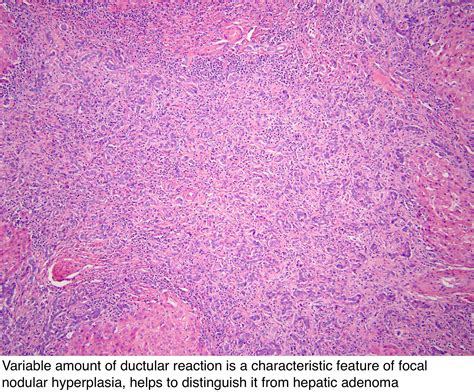
  • Liver Biopsy: In some cases, a liver biopsy may be performed to confirm the diagnosis. This involves taking a small sample of liver tissue for examination under a microscope.

Treatment Options for Focal Nodular Hyperplasia Liver

FNH is a benign condition that typically does not require treatment. However, in some cases, treatment may be recommended based on the size and location of the lesion, as well as the individual's symptoms. Treatment options include:

  • Observation: For small, asymptomatic lesions, regular monitoring with imaging tests may be sufficient.
  • Surgical Removal: In cases where the lesion is large, causing symptoms, or there is a concern about malignancy, surgical removal may be recommended. This can be done through open surgery or minimally invasive techniques such as laparoscopy.
  • Radiofrequency Ablation (RFA): This procedure uses heat to destroy the lesion. It is a minimally invasive option that can be performed under local anesthesia.
  • Transarterial Embolization (TAE): This procedure involves blocking the blood supply to the lesion, causing it to shrink. It is typically used for larger lesions that cannot be easily removed surgically.

Risk Factors and Complications

While FNH is generally considered a benign condition, there are some risk factors and potential complications to be aware of:

  • Risk Factors:
    • Female gender
    • Young to middle-aged adults
    • Use of oral contraceptives
    • History of liver disease
  • Complications:
    • Rupture of the lesion, leading to internal bleeding
    • Infection or abscess formation
    • Misdiagnosis as a malignant lesion, leading to unnecessary treatment

Regular follow-up with a healthcare provider is essential to monitor the lesion and address any potential complications.

Living with Focal Nodular Hyperplasia Liver

Living with FNH typically involves regular monitoring and lifestyle modifications to support overall liver health. Here are some tips for managing FNH:

  • Maintain a Healthy Lifestyle: Eat a balanced diet, exercise regularly, and avoid alcohol and tobacco.
  • Regular Check-ups: Schedule regular appointments with your healthcare provider to monitor the lesion and assess your liver function.
  • Avoid Medications That Affect the Liver: Consult your healthcare provider before taking any new medications, including over-the-counter drugs and supplements.
  • Manage Underlying Conditions: If you have other liver conditions, such as hepatitis or cirrhosis, work with your healthcare provider to manage these conditions effectively.

By following these guidelines, individuals with FNH can maintain their overall health and well-being.

📝 Note: Always consult with a healthcare provider for personalized advice and treatment options.

Differential Diagnosis of Focal Nodular Hyperplasia Liver

FNH can sometimes be mistaken for other liver conditions, making accurate diagnosis crucial. Some conditions that may be confused with FNH include:

Condition Description Diagnostic Features
Hepatic Adenoma A benign liver tumor that can rupture and bleed. Typically larger than FNH, may have a central scar, and can be associated with oral contraceptive use.
Hepatocellular Carcinoma (HCC) A malignant liver tumor that can be life-threatening. Usually has a more irregular shape, may have areas of necrosis, and is often associated with cirrhosis or hepatitis.
Hemangioma A benign liver tumor composed of blood vessels. Typically well-defined, may have a characteristic "popcorn" appearance on imaging, and does not usually require treatment.

Accurate diagnosis is essential to ensure appropriate management and treatment.

📝 Note: If you have been diagnosed with FNH, it is important to discuss any concerns or questions with your healthcare provider.

Research and Future Directions

Research on FNH is ongoing, with a focus on understanding its underlying mechanisms and improving diagnostic and treatment options. Some areas of current research include:

  • Genetic Studies: Investigating the genetic factors that may contribute to the development of FNH.
  • Imaging Techniques: Developing more advanced imaging techniques to improve the accuracy of FNH diagnosis.
  • Treatment Modalities: Exploring new treatment options, such as targeted therapies and minimally invasive procedures.

As research continues, our understanding of FNH and its management will likely improve, leading to better outcomes for individuals affected by this condition.

FNH is a benign liver lesion that, while often asymptomatic, can sometimes cause discomfort or be mistaken for more serious conditions. Understanding the causes, symptoms, diagnosis, and treatment options for FNH is essential for anyone affected by this condition. Regular monitoring and a healthy lifestyle can help manage FNH effectively, ensuring overall liver health and well-being.

Related Terms:

  • focal nodular hyperplasia liver cause
  • focal nodular hyperplasia liver pathology
  • focal nodular hyperplasia liver treatment
  • focal nodular hyperplasia liver radiology
  • focal nodular hyperplasia liver estrogen
  • treatment for focal nodular hyperplasia