Spleen Vs Pancreas

Spleen Vs Pancreas

Understanding the differences between the spleen and the pancreas is crucial for appreciating their distinct roles in the human body. While both organs are vital for overall health, they serve different functions and are located in different parts of the abdominal cavity. This blog post will delve into the anatomy, functions, and health implications of the spleen vs. pancreas, providing a comprehensive overview of these essential organs.

Anatomy of the Spleen and Pancreas

The spleen and pancreas are both located in the upper left quadrant of the abdomen, but they have different anatomical structures and positions. The spleen is a fist-sized organ situated just below the ribcage on the left side, while the pancreas is a long, flat gland that stretches horizontally across the back of the abdomen.

Spleen Anatomy

The spleen is a soft, purplish organ that plays a critical role in the immune system. It is composed of two main types of tissue: red pulp and white pulp. The red pulp filters blood and removes old or damaged red blood cells, while the white pulp contains lymphocytes and other immune cells that help fight infections.

Pancreas Anatomy

The pancreas is a dual-function organ, serving both exocrine and endocrine roles. It is divided into three main parts: the head, body, and tail. The head of the pancreas is connected to the duodenum, the first part of the small intestine, via the pancreatic duct. The pancreas produces digestive enzymes and hormones, including insulin and glucagon, which regulate blood sugar levels.

Functions of the Spleen and Pancreas

The spleen and pancreas have distinct functions that are essential for maintaining overall health. Understanding these functions helps in appreciating the importance of each organ in the body.

Functions of the Spleen

The spleen performs several key functions:

  • Blood Filtration: The spleen filters blood, removing old or damaged red blood cells and platelets.
  • Immune Response: It contains white blood cells that help fight infections and produce antibodies.
  • Blood Storage: The spleen stores a reserve of blood that can be released into the circulation when needed, such as during physical exertion or blood loss.
  • Iron Recycling: The spleen breaks down old red blood cells and recycles the iron for the production of new red blood cells.

Functions of the Pancreas

The pancreas has both exocrine and endocrine functions:

  • Exocrine Function: The pancreas produces digestive enzymes, such as amylase, lipase, and proteases, which are released into the small intestine to break down carbohydrates, fats, and proteins.
  • Endocrine Function: The pancreas produces hormones, including insulin and glucagon, which regulate blood sugar levels. Insulin helps cells absorb glucose, while glucagon stimulates the liver to release stored glucose.

Health Implications of the Spleen and Pancreas

Both the spleen and pancreas can be affected by various health conditions, some of which are unique to each organ. Understanding these conditions is essential for recognizing the signs and symptoms that may indicate a problem.

The spleen can be affected by several health conditions, including:

  • Splenomegaly: An enlarged spleen, which can be caused by infections, liver disease, or blood disorders.
  • Splenic Rupture: A medical emergency that occurs when the spleen is injured and ruptures, leading to internal bleeding.
  • Splenic Infarction: A condition where blood flow to the spleen is blocked, leading to tissue death.
  • Splenic Abscess: A pocket of pus that forms in the spleen, usually as a result of an infection.

The pancreas can be affected by several health conditions, including:

  • Pancreatitis: Inflammation of the pancreas, which can be acute or chronic. Acute pancreatitis is often caused by gallstones or heavy alcohol use, while chronic pancreatitis is typically the result of long-term alcohol abuse or other underlying conditions.
  • Pancreatic Cancer: A malignant tumor that develops in the pancreas. Pancreatic cancer is often aggressive and difficult to treat.
  • Diabetes: A condition where the body cannot produce or properly use insulin, leading to high blood sugar levels. Type 1 diabetes is an autoimmune condition where the pancreas stops producing insulin, while type 2 diabetes is characterized by insulin resistance.
  • Cystic Fibrosis: A genetic disorder that affects the pancreas, among other organs. In cystic fibrosis, thick mucus blocks the pancreatic ducts, preventing digestive enzymes from reaching the small intestine.

Diagnosis and Treatment of Spleen and Pancreas Conditions

Diagnosing and treating conditions related to the spleen and pancreas involves a combination of medical history, physical examination, laboratory tests, and imaging studies. Early detection and appropriate treatment are crucial for managing these conditions effectively.

Diagnosis of Spleen Conditions

Diagnosing spleen conditions may involve:

  • Physical Examination: A healthcare provider may feel the spleen during a physical exam to check for enlargement or tenderness.
  • Blood Tests: Laboratory tests can help identify infections, blood disorders, or other conditions that may affect the spleen.
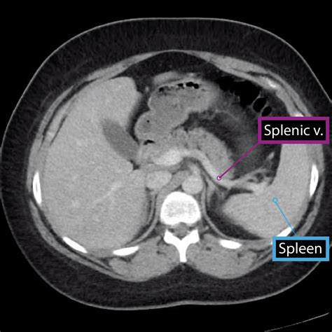
  • Imaging Studies: Ultrasound, CT scan, or MRI can provide detailed images of the spleen and help diagnose conditions such as splenomegaly or splenic rupture.

Treatment of Spleen Conditions

Treatment for spleen conditions depends on the underlying cause and may include:

  • Medications: Antibiotics for infections, or medications to manage blood disorders.
  • Splenectomy: Surgical removal of the spleen, which may be necessary in cases of splenic rupture, severe splenomegaly, or certain blood disorders.
  • Observation: In some cases, such as mild splenomegaly, no treatment may be necessary, and the condition can be monitored over time.

📝 Note: After a splenectomy, individuals may be at increased risk of infections and may require vaccinations and prophylactic antibiotics.

Diagnosis of Pancreas Conditions

Diagnosing pancreas conditions may involve:

  • Blood Tests: Laboratory tests can measure pancreatic enzymes, blood sugar levels, and other markers to help diagnose conditions such as pancreatitis or diabetes.
  • Imaging Studies: Ultrasound, CT scan, MRI, or endoscopic ultrasound can provide detailed images of the pancreas and help diagnose conditions such as pancreatic cancer or pancreatitis.
  • Endoscopic Retrograde Cholangiopancreatography (ERCP): A procedure that combines endoscopy and fluoroscopy to visualize the pancreatic and biliary ducts.

Treatment of Pancreas Conditions

Treatment for pancreas conditions depends on the underlying cause and may include:

  • Medications: Pain management, enzyme replacement therapy, or insulin therapy for diabetes.
  • Surgery: Surgical removal of the pancreas or a portion of it, which may be necessary in cases of pancreatic cancer or severe pancreatitis.
  • Lifestyle Changes: Dietary modifications, weight management, and avoiding alcohol to manage conditions such as pancreatitis or diabetes.

📝 Note: Early detection and treatment of pancreatic cancer are crucial, as it is often aggressive and difficult to treat.

Comparative Analysis of Spleen Vs Pancreas

While both the spleen and pancreas are essential organs, they have distinct roles and functions. Understanding the differences between the spleen vs. pancreas can help in appreciating their unique contributions to overall health.

Aspect Spleen Pancreas
Location Upper left quadrant of the abdomen, below the ribcage Horizontally across the back of the abdomen, behind the stomach
Primary Function Blood filtration, immune response, blood storage, iron recycling Digestive enzyme production, hormone regulation (insulin, glucagon)
Common Conditions Splenomegaly, splenic rupture, splenic infarction, splenic abscess Pancreatitis, pancreatic cancer, diabetes, cystic fibrosis
Diagnostic Methods Physical examination, blood tests, imaging studies (ultrasound, CT scan, MRI) Blood tests, imaging studies (ultrasound, CT scan, MRI, ERCP)
Treatment Options Medications, splenectomy, observation Medications, surgery, lifestyle changes

In summary, the spleen and pancreas are both vital organs with distinct functions and health implications. Understanding the differences between the spleen vs. pancreas can help in recognizing the signs and symptoms of related conditions and seeking appropriate medical care.

While the spleen plays a crucial role in the immune system and blood filtration, the pancreas is essential for digestion and hormone regulation. Both organs can be affected by various health conditions, and early detection and treatment are key to managing these conditions effectively.

By appreciating the unique contributions of the spleen and pancreas to overall health, individuals can take proactive steps to maintain the health of these essential organs and seek medical attention when necessary.

Related Terms:

  • spleen pain vs pancreas
  • spleen and pancreas anatomy
  • spleen in relation to stomach
  • spleen and pancreas location
  • pancreas and splenic vein
  • pancreas or spleen pain